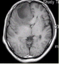
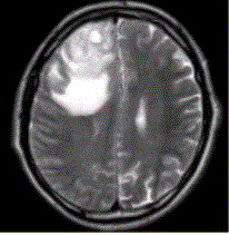
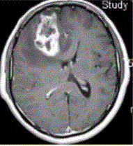
患者女,67岁,头痛伴呕吐1周。既往体健。MR表现如下图。关于多形性成胶质细胞瘤,描述正确的是A.儿童青少年常见B.好发于额、颞叶大脑灰质及白质区...

作者: rantiku 人气: - 评论: 0
问题 患者女,67岁,头痛伴呕吐1周。既往体健。MR表现如下图。 关于多形性成胶质细胞瘤,描述正确的是
选项 A.儿童青少年常见 B.好发于额、颞叶大脑灰质及白质区 C.CT平扫密度均匀 D.增强检查均匀强化 E.瘤周水肿轻微,占位效应显著
答案 B
解析

猜你喜欢

发表评论
更多 网友评论0 条评论)
暂无评论

Copyright © 2012-2014 恰考网 Inc. 保留所有权利。 Powered by tikuer.com

页面耗时0.0394秒, 内存占用1.03 MB, Cache:redis,访问数据库20次