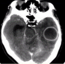
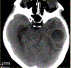
患者女,26岁,头痛、低热10d余,既往有左侧慢性中耳炎病史。CT表现如下图。MRI检查中,脑脓肿最敏感的方法或序列显示是A.T2*WIB...

作者: rantiku 人气: - 评论: 0
问题 患者女,26岁,头痛、低热10d余,既往有左侧慢性中耳炎病史。CT表现如下图。 MRI检查中,脑脓肿最敏感的方法或序列显示是
选项 A.T2*WI B.DWI C.FLAIR D.T2WI E.PDW
答案 B
解析

猜你喜欢

发表评论
更多 网友评论0 条评论)
暂无评论

Copyright © 2012-2014 恰考网 Inc. 保留所有权利。 Powered by tikuer.com

页面耗时0.0351秒, 内存占用1.03 MB, Cache:redis,访问数据库19次