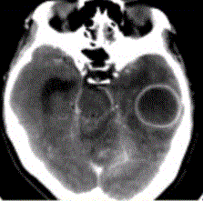
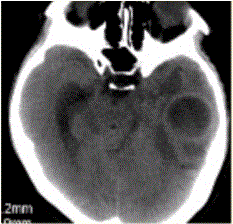
患者女,26岁,头痛、低热10d余,既往有左侧慢性中耳炎病史。CT表现如下图。脑脓肿的MRS表现,正确的是A.Cho明显升高B.NAA未见...

作者: rantiku 人气: - 评论: 0
问题 患者女,26岁,头痛、低热10d余,既往有左侧慢性中耳炎病史。CT表现如下图。 脑脓肿的MRS表现,正确的是
选项 A.Cho明显升高 B.NAA未见异常 C.Lac升高 D.乙酸峰、乳酸峰、丁二酸峰升高 E.Lip峰升高
答案 D
解析

猜你喜欢

发表评论
更多 网友评论0 条评论)
暂无评论

Copyright © 2012-2014 恰考网 Inc. 保留所有权利。 Powered by tikuer.com

页面耗时0.0446秒, 内存占用1.03 MB, Cache:redis,访问数据库20次