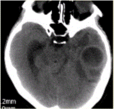
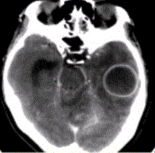
患者女,26岁,头痛、低热10d余,既往有左侧慢性中耳炎病史。CT表现如下图。有关脑脓肿的DWI表现,正确的是A.DWI上脓肿腔均呈高信号,A...

作者: rantiku 人气: - 评论: 0
问题 患者女,26岁,头痛、低热10d余,既往有左侧慢性中耳炎病史。CT表现如下图。 有关脑脓肿的DWI表现,正确的是
选项 A.DWI上脓肿腔均呈高信号,ADC呈低信号 B.经过治疗的脓肿腔DWI也可呈等信号或低信号 C.DWI脓肿周围水肿高信号,ADC高信号 D.DWI上脓肿腔低信号,ADC高信号 E.脓肿壁DWI高信号
答案 B
解析

猜你喜欢

发表评论
更多 网友评论0 条评论)
暂无评论

Copyright © 2012-2014 恰考网 Inc. 保留所有权利。 Powered by tikuer.com

页面耗时0.0569秒, 内存占用1.03 MB, Cache:redis,访问数据库20次