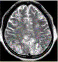
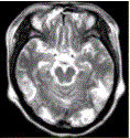
患者女,25岁。产后2d,头痛。产前妊高征,血压达200/130mmHg。MRI显示如下图。此患者的诊断为A.静脉窦闭塞B.高灌注...

作者: rantiku 人气: - 评论: 0
问题 患者女,25岁。产后2d,头痛。产前妊高征,血压达200/130mmHg。MRI显示如下图。 此患者的诊断为
选项 A.静脉窦闭塞 B.高灌注脑病 C.脑梗死 D.脑炎 E.脑水肿
答案 B
解析

猜你喜欢

发表评论
更多 网友评论0 条评论)
暂无评论

Copyright © 2012-2014 恰考网 Inc. 保留所有权利。 Powered by tikuer.com

页面耗时0.0380秒, 内存占用1.03 MB, Cache:redis,访问数据库20次