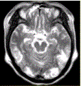
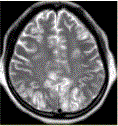
患者女,25岁。产后2d,头痛。产前妊高征,血压达200/130mmHg。MRI显示如下图。有关高灌注脑病的描述,错误的是A.也称为高...

作者: rantiku 人气: - 评论: 0
问题 患者女,25岁。产后2d,头痛。产前妊高征,血压达200/130mmHg。MRI显示如下图。 有关高灌注脑病的描述,错误的是
选项 A.也称为高血压性脑病,或后部可逆性脑白质病 B.病变恢复较慢 C.后部循环常见 D.也可累及基底节和脑干,少数患者也可见出血 E.对症治疗,如降血压、降颅压等。
答案 B
解析

猜你喜欢

发表评论
更多 网友评论0 条评论)
暂无评论

Copyright © 2012-2014 恰考网 Inc. 保留所有权利。 Powered by tikuer.com

页面耗时0.0341秒, 内存占用1.03 MB, Cache:redis,访问数据库17次