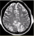
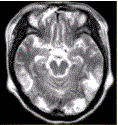
患者女,25岁。产后2d,头痛。产前妊高征,血压达200/130mmHg。MRI显示如下图。有关该病的发病机制,错误的是A.各种原因所...

作者: rantiku 人气: - 评论: 0
问题 患者女,25岁。产后2d,头痛。产前妊高征,血压达200/130mmHg。MRI显示如下图。 有关该病的发病机制,错误的是
选项 A.各种原因所引起的急性动脉性高血压,如先兆子痫或子痫,急慢性肾功能衰竭、原发性或恶性高血压或嗜铬细胞瘤等 B.脑血管收缩痉挛,引起血-脑脊液屏障破坏,间质液体堆积在皮质和皮质下白质区,导致血管源性脑水肿 C.脑血管的自身调节功能障碍时,脑血管有可能出现被动性扩张 D.血压恢复正常后,病变可恢复 E.大脑前部循环不受交感神经支配,对自身血压变化的调节较弱
答案 E
解析

猜你喜欢

发表评论
更多 网友评论0 条评论)
暂无评论

Copyright © 2012-2014 恰考网 Inc. 保留所有权利。 Powered by tikuer.com

页面耗时0.0451秒, 内存占用1.03 MB, Cache:redis,访问数据库19次