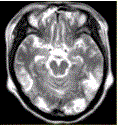
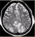
患者女,25岁。产后2d,头痛。产前妊高征,血压达200/130mmHg。MRI显示如下图。有关该病的影像学表现,错误的是A.DWI等...

作者: rantiku 人气: - 评论: 0
问题 患者女,25岁。产后2d,头痛。产前妊高征,血压达200/130mmHg。MRI显示如下图。 有关该病的影像学表现,错误的是
选项 A.DWI等或高信号,ADC高信号 B.CT显示对称性或不对称性皮层下区低密度影 C.病变无强化 D.FLAIR序列高信号 E.T2WI呈高信号
答案 C
解析

猜你喜欢

发表评论
更多 网友评论0 条评论)
暂无评论

Copyright © 2012-2014 恰考网 Inc. 保留所有权利。 Powered by tikuer.com

页面耗时0.0436秒, 内存占用1.03 MB, Cache:redis,访问数据库20次