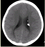
患者男,20岁,面部皮脂腺瘤,头CT显示如下图。可能的诊断是A.少枝胶质细胞瘤B.星形细胞瘤C.结节性硬化D.陈旧性血肿E.颅面血...

作者: rantiku 人气: - 评论: 0
问题 患者男,20岁,面部皮脂腺瘤,头CT显示如下图。 可能的诊断是
选项 A.少枝胶质细胞瘤 B.星形细胞瘤 C.结节性硬化 D.陈旧性血肿 E.颅面血管瘤病(Sturge-Weber)综合征
答案 C
解析

猜你喜欢

发表评论
更多 网友评论0 条评论)
暂无评论

Copyright © 2012-2014 恰考网 Inc. 保留所有权利。 Powered by tikuer.com

页面耗时0.0331秒, 内存占用1.03 MB, Cache:redis,访问数据库19次