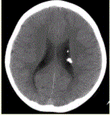
患者男,20岁,面部皮脂腺瘤,头CT显示如下图。有关该病的描述正确的是A.室管膜下结节无钙化B.70%伴有室管膜下巨细胞星形细胞瘤C.结节...

作者: rantiku 人气: - 评论: 0
问题 患者男,20岁,面部皮脂腺瘤,头CT显示如下图。 有关该病的描述正确的是
选项 A.室管膜下结节无钙化 B.70%伴有室管膜下巨细胞星形细胞瘤 C.结节强化提示病变恶变 D.影像学首选MRI E.50%为遗传性,常染色体显性遗传
答案 E
解析

猜你喜欢

发表评论
更多 网友评论0 条评论)
暂无评论

Copyright © 2012-2014 恰考网 Inc. 保留所有权利。 Powered by tikuer.com

页面耗时0.0664秒, 内存占用1.03 MB, Cache:redis,访问数据库14次