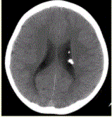
患者男,20岁,面部皮脂腺瘤,头CT显示如下图。该病伴有的相关异常不包括A.肾血管平滑肌脂肪瘤B.心脏横纹肌瘤C.其他实质器官的腺瘤、平滑...

作者: rantiku 人气: - 评论: 0
问题 患者男,20岁,面部皮脂腺瘤,头CT显示如下图。 该病伴有的相关异常不包括
选项 A.肾血管平滑肌脂肪瘤 B.心脏横纹肌瘤 C.其他实质器官的腺瘤、平滑肌瘤等 D.所有患者均会出现三联征 E.皮肤(面部)纤维血管瘤
答案 D
解析

猜你喜欢

发表评论
更多 网友评论0 条评论)
暂无评论

Copyright © 2012-2014 恰考网 Inc. 保留所有权利。 Powered by tikuer.com

页面耗时0.0331秒, 内存占用1.03 MB, Cache:redis,访问数据库19次