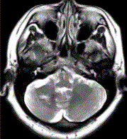
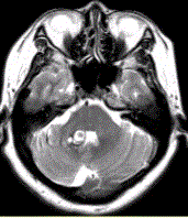
患者女,41岁。头痛半年,加重10d。头部MRI显示如下图。关于该病的MRI描述正确的是A.右侧小脑半球圆形长T2信号影,病变周边可见环形低信...

作者: rantiku 人气: - 评论: 0
问题 患者女,41岁。头痛半年,加重10d。头部MRI显示如下图。 关于该病的MRI描述正确的是
选项 A.右侧小脑半球圆形长T2信号影,病变周边可见环形低信号 B.病变周边环形低信号对病变的诊断价值不大 C.病变邻近右侧小脑半球可见一条形高信号,其对病变的诊断价值不大 D.病变邻近右侧小脑半球可见一条形高信号,其对病变的诊断价值较大 E.第四脑室受压变窄对于病变的诊断价值较大 F.病变的内部信号不均匀对病变的诊断价值较大
答案 ADF
解析 ADF

猜你喜欢

发表评论
更多 网友评论0 条评论)
暂无评论

Copyright © 2012-2014 恰考网 Inc. 保留所有权利。 Powered by tikuer.com

页面耗时0.0362秒, 内存占用1.03 MB, Cache:redis,访问数据库15次