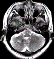
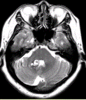
患者女,41岁。头痛半年,加重10d。头部MRI显示如下图。根据该病的影像学表现,该病可能的诊断是A.海绵状血管瘤B.发育性静脉畸形C...

作者: rantiku 人气: - 评论: 0
问题 患者女,41岁。头痛半年,加重10d。头部MRI显示如下图。 根据该病的影像学表现,该病可能的诊断是
选项 A.海绵状血管瘤 B.发育性静脉畸形 C.AVM D.毛细血管扩张症 E.动脉瘤 F.硬脑膜动静脉瘘
答案 AB
解析 AB

猜你喜欢

发表评论
更多 网友评论0 条评论)
暂无评论

Copyright © 2012-2014 恰考网 Inc. 保留所有权利。 Powered by tikuer.com

页面耗时0.0481秒, 内存占用1.03 MB, Cache:redis,访问数据库20次