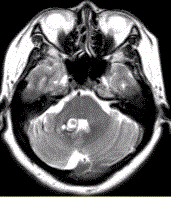
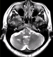
患者女,41岁。头痛半年,加重10d。头部MRI显示如下图。为进一步确定诊断,下一步的影像学检查是A.MRI增强B.FLAIRC.DW...

作者: rantiku 人气: - 评论: 0
问题 患者女,41岁。头痛半年,加重10d。头部MRI显示如下图。 为进一步确定诊断,下一步的影像学检查是
选项 A.MRI增强 B.FLAIR C.DWI D.MRA E.MRV F.DSA
答案 AE
解析 AE

猜你喜欢

发表评论
更多 网友评论0 条评论)
暂无评论

Copyright © 2012-2014 恰考网 Inc. 保留所有权利。 Powered by tikuer.com

页面耗时0.0444秒, 内存占用1.03 MB, Cache:redis,访问数据库19次