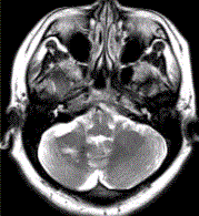
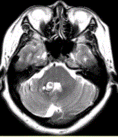
患者女,41岁。头痛半年,加重10d。头部MRI显示如下图。关于发育性静脉畸形的描述正确的是A.MR增强检查显示“海蛇头”样表现B.常发生...

作者: rantiku 人气: - 评论: 0
问题 患者女,41岁。头痛半年,加重10d。头部MRI显示如下图。 关于发育性静脉畸形的描述正确的是
选项 A.MR增强检查显示“海蛇头”样表现 B.常发生于侧脑室额角白质或Ⅳ脑室周围白质 C.扩张的髓静脉呈伞样汇集,经粗大的静脉引流入静脉窦或深部室管膜静脉 D.病变较小,T1WI可正常,T2WI可见血管流空 E.影像学首选MRT1C+MRV F.T2*WI可显示出血及伴有其他血管畸形 G.15%~20%伴有海绵状血管瘤
答案 ABCDEFG
解析 ABCDEFG

猜你喜欢

发表评论
更多 网友评论0 条评论)
暂无评论

Copyright © 2012-2014 恰考网 Inc. 保留所有权利。 Powered by tikuer.com

页面耗时0.0333秒, 内存占用1.03 MB, Cache:redis,访问数据库20次