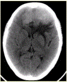
患者女,68岁。头痛、恶心2周,加重2d。头CT显示如下图。关于该病的描述,正确的是A.病变与脑实质边界不清,跨越大脑镰提示病变位于轴内B...

作者: rantiku 人气: - 评论: 0
问题 患者女,68岁。头痛、恶心2周,加重2d。头CT显示如下图。 关于该病的描述,正确的是
选项 A.病变与脑实质边界不清,跨越大脑镰提示病变位于轴内 B.病变密度较高,提示内部伴发出血 C.病变邻近颅骨可见骨质肥厚,支持病变位于轴外 D.病变形态不规则,周围水肿明显,支持病变位于轴外 E.为进一步明确诊断,需增强检查 F.CT平扫可以评价病变与硬脑膜的关系
答案 ABCE
解析 ABCE

猜你喜欢

发表评论
更多 网友评论0 条评论)
暂无评论

Copyright © 2012-2014 恰考网 Inc. 保留所有权利。 Powered by tikuer.com

页面耗时0.0434秒, 内存占用1.03 MB, Cache:redis,访问数据库19次