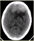
患者女,68岁。头痛、恶心2周,加重2d。头CT显示如下图。可能的诊断是(提示头颅CT增强及CT灌注成像(脑血流量及表面渗透值明显升高)显示如...

作者: rantiku 人气: - 评论: 0
问题 患者女,68岁。头痛、恶心2周,加重2d。头CT显示如下图。 可能的诊断是(提示头颅CT增强及CT灌注成像(脑血流量及表面渗透值明显升高)显示如下图。)
选项 A.脑膜瘤 B.成胶质细胞瘤 C.少枝胶质细胞瘤 D.节细胞胶质瘤 E.毛细胞星形细胞瘤 F.室管膜瘤
答案 AB
解析 AB

猜你喜欢

发表评论
更多 网友评论0 条评论)
暂无评论

Copyright © 2012-2014 恰考网 Inc. 保留所有权利。 Powered by tikuer.com

页面耗时0.0326秒, 内存占用1.03 MB, Cache:redis,访问数据库14次