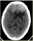
患者女,68岁。头痛、恶心2周,加重2d。头CT显示如下图。CT、MR支持病变位于轴外的征象是A.病变边界清晰,形态不规则,呈分叶状B.病...

作者: rantiku 人气: - 评论: 0
问题 患者女,68岁。头痛、恶心2周,加重2d。头CT显示如下图。 CT、MR支持病变位于轴外的征象是
选项 A.病变边界清晰,形态不规则,呈分叶状 B.病变邻近的蛛网膜下腔增宽 C.病变呈等T1等T2信号影 D.大脑镰可见明显强化,CBV及PS明显升高 E.病变周围水肿明显 F.病变占位效应明显
答案 ABD
解析 ABD

猜你喜欢

发表评论
更多 网友评论0 条评论)
暂无评论

Copyright © 2012-2014 恰考网 Inc. 保留所有权利。 Powered by tikuer.com

页面耗时0.0430秒, 内存占用1.03 MB, Cache:redis,访问数据库20次