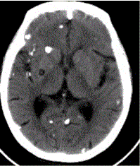
患者男,45岁。头痛、癫痫10余年。查体:无发热,双侧肢体肌力正常。脑电图示双侧额颞叶棘波放电。CT表现如下图。可能的诊断为A.包虫B.囊虫 ...

作者: rantiku 人气: - 评论: 0
问题 患者男,45岁。头痛、癫痫10余年。查体:无发热,双侧肢体肌力正常。脑电图示双侧额颞叶棘波放电。CT表现如下图。 可能的诊断为
选项 A.包虫 B.囊虫 C.结核 D.转移瘤 E.真菌感染 F.甲状旁腺功能减低
答案 BC
解析 BC

猜你喜欢

发表评论
更多 网友评论0 条评论)
暂无评论

Copyright © 2012-2014 恰考网 Inc. 保留所有权利。 Powered by tikuer.com

页面耗时0.0364秒, 内存占用1.03 MB, Cache:redis,访问数据库19次