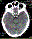
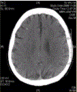
患者男,59岁。眩晕发作半年,肢体麻木、语言不能5h。CT显示如下图。为进一步确诊,需进一步检查A.MRI平扫及增强B.MRI平扫C....

作者: rantiku 人气: - 评论: 0
问题 患者男,59岁。眩晕发作半年,肢体麻木、语言不能5h。CT显示如下图。 为进一步确诊,需进一步检查
选项 A.MRI平扫及增强 B.MRI平扫 C.CT平扫 D.询问病史 E.胸部CT F.脑脊液检查
答案 ADE
解析 ADE

猜你喜欢

发表评论
更多 网友评论0 条评论)
暂无评论

Copyright © 2012-2014 恰考网 Inc. 保留所有权利。 Powered by tikuer.com

页面耗时0.0504秒, 内存占用1.03 MB, Cache:redis,访问数据库20次