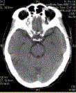
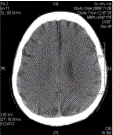
患者男,59岁。眩晕发作半年,肢体麻木、语言不能5h。CT显示如下图。头颅MRI增强及胸部CT检查如下,最后诊断为A.多形性成胶质细胞瘤B...

作者: rantiku 人气: - 评论: 0
问题 患者男,59岁。眩晕发作半年,肢体麻木、语言不能5h。CT显示如下图。 头颅MRI增强及胸部CT检查如下,最后诊断为
选项 A.多形性成胶质细胞瘤 B.肺泡细胞癌脑转移瘤 C.淋巴瘤 D.脑脓肿 E.脑胶质瘤病 F.正常 G.多发出血灶 H.多发钙化灶
答案 B
解析 B

猜你喜欢

发表评论
更多 网友评论0 条评论)
暂无评论

Copyright © 2012-2014 恰考网 Inc. 保留所有权利。 Powered by tikuer.com

页面耗时0.0595秒, 内存占用1.03 MB, Cache:redis,访问数据库14次