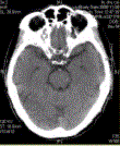
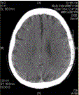
患者男,59岁。眩晕发作半年,肢体麻木、语言不能5h。CT显示如下图。发生脑膜转移时,下列表述正确的是A.可转移至硬脑膜B.可转移至柔脑膜...

作者: rantiku 人气: - 评论: 0
问题 患者男,59岁。眩晕发作半年,肢体麻木、语言不能5h。CT显示如下图。 发生脑膜转移时,下列表述正确的是
选项 A.可转移至硬脑膜 B.可转移至柔脑膜 C.硬脑膜转移在CT/MRI增强检查中表现为硬脑膜弥漫性增厚、强化,并可见结节 D.柔脑膜转移在CT/MRI增强检查中表现为沿脑沟、脑池的异常强化 E.正常硬脑膜不出现强化 F.正常柔脑膜无强化
答案 ABCDF
解析 ABCDF

猜你喜欢

发表评论
更多 网友评论0 条评论)
暂无评论

Copyright © 2012-2014 恰考网 Inc. 保留所有权利。 Powered by tikuer.com

页面耗时0.0427秒, 内存占用1.03 MB, Cache:redis,访问数据库20次