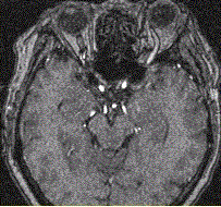
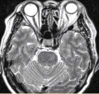
女性,62岁。外伤后左侧突眼。MRI显示如下图。关于该病,描述正确的是A.左侧眼上静脉增粗B.左侧海绵窦增宽C.左侧颈内动脉增粗D.颈内动...

作者: rantiku 人气: - 评论: 0
问题 女性,62岁。外伤后左侧突眼。MRI显示如下图。 关于该病,描述正确的是
选项 A.左侧眼上静脉增粗 B.左侧海绵窦增宽 C.左侧颈内动脉增粗 D.颈内动脉变细 E.左侧眼球突出 F.右侧颈内动脉增粗
答案 ABCE
解析 ABCE

猜你喜欢

发表评论
更多 网友评论0 条评论)
暂无评论

Copyright © 2012-2014 恰考网 Inc. 保留所有权利。 Powered by tikuer.com

页面耗时0.0324秒, 内存占用1.03 MB, Cache:redis,访问数据库19次