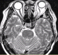
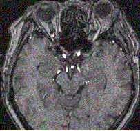
女性,62岁。外伤后左侧突眼。MRI显示如下图。需与该病鉴别诊断的疾病包括A.Tolosa-Hunt综合征B.海绵窦神经鞘瘤C.海绵窦脑膜瘤 ...

作者: rantiku 人气: - 评论: 0
问题 女性,62岁。外伤后左侧突眼。MRI显示如下图。 需与该病鉴别诊断的疾病包括
选项 A.Tolosa-Hunt综合征 B.海绵窦神经鞘瘤 C.海绵窦脑膜瘤 D.海绵窦动脉瘤 E.海绵窦AVM F.海绵窦海绵状血管瘤
答案 ABCD
解析 ABCD

猜你喜欢

发表评论
更多 网友评论0 条评论)
暂无评论

Copyright © 2012-2014 恰考网 Inc. 保留所有权利。 Powered by tikuer.com

页面耗时0.0276秒, 内存占用1.03 MB, Cache:redis,访问数据库19次