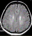
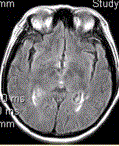
患者女,48岁。渐进性肢体无力半年。MRI所示如下图。根据MRI表现,可能的诊断是A.多发脑缺血B.多发性硬化C.脑白质稀疏D.脑...

作者: rantiku 人气: - 评论: 0
问题 患者女,48岁。渐进性肢体无力半年。MRI所示如下图。 根据MRI表现,可能的诊断是
选项 A.多发脑缺血 B.多发性硬化 C.脑白质稀疏 D.脑萎缩 E.脑炎 F.脑白质病变
答案 ABCF
解析 ABCF

猜你喜欢

发表评论
更多 网友评论0 条评论)
暂无评论

Copyright © 2012-2014 恰考网 Inc. 保留所有权利。 Powered by tikuer.com

页面耗时0.0424秒, 内存占用1.03 MB, Cache:redis,访问数据库20次