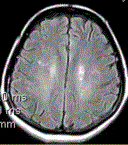
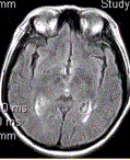
患者女,48岁。渐进性肢体无力半年。MRI所示如下图。为进一步确诊,下一步需要做的检查是A.询问有无高血压、糖尿病病史B.询问有无视力异常...

作者: rantiku 人气: - 评论: 0
问题 患者女,48岁。渐进性肢体无力半年。MRI所示如下图。 为进一步确诊,下一步需要做的检查是
选项 A.询问有无高血压、糖尿病病史 B.询问有无视力异常 C.MRI增强检查 D.脊柱MRI检查 E.询问有无其他中毒病史 F.腰椎穿刺脑脊液检查
答案 ABCDF
解析 ABCDF

猜你喜欢

发表评论
更多 网友评论0 条评论)
暂无评论

Copyright © 2012-2014 恰考网 Inc. 保留所有权利。 Powered by tikuer.com

页面耗时0.0629秒, 内存占用1.03 MB, Cache:redis,访问数据库15次