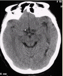
患者男,20岁,癫痫病史。头部CT显示如下图。可能的诊断是A.未见异常B.左侧颞叶可疑低密度影C.脑沟增宽D.脑萎缩E.脑结核...

作者: rantiku 人气: - 评论: 0
问题 患者男,20岁,癫痫病史。头部CT显示如下图。 可能的诊断是
选项 A.未见异常 B.左侧颞叶可疑低密度影 C.脑沟增宽 D.脑萎缩 E.脑结核 F.脑梗死
答案 B
解析 B

猜你喜欢

发表评论
更多 网友评论0 条评论)
暂无评论

Copyright © 2012-2014 恰考网 Inc. 保留所有权利。 Powered by tikuer.com

页面耗时0.0483秒, 内存占用1.03 MB, Cache:redis,访问数据库18次