患者男,20岁,癫痫病史。头部CT显示如下图。可能的诊断为(提示进一步MRI检查如下图。)A.海绵状血管瘤B.动静脉畸形C.发育性静脉畸形...

作者: rantiku 人气: - 评论: 0
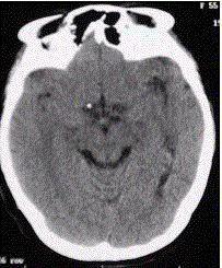
问题 患者男,20岁,癫痫病史。头部CT显示如下图。 可能的诊断为(提示进一步MRI检查如下图。)
选项 A.海绵状血管瘤 B.动静脉畸形 C.发育性静脉畸形 D.发育性静脉畸形伴海绵状血管瘤 E.脑梗死 F.脑出血
答案 B
解析 B

猜你喜欢

发表评论
更多 网友评论0 条评论)
暂无评论

Copyright © 2012-2014 恰考网 Inc. 保留所有权利。 Powered by tikuer.com

页面耗时0.0496秒, 内存占用1.03 MB, Cache:redis,访问数据库20次