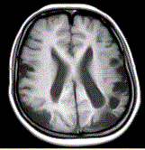
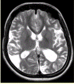
女性,22岁。癫痫发作及智力异常。MRI显示见下图。关于该病描述正确的是A.脑萎缩B.双侧顶枕叶软化灶C.蛛网膜囊肿D.双侧顶枕叶...

作者: rantiku 人气: - 评论: 0
问题 女性,22岁。癫痫发作及智力异常。MRI显示见下图。 关于该病描述正确的是
选项 A.脑萎缩 B.双侧顶枕叶软化灶 C.蛛网膜囊肿 D.双侧顶枕叶脑梗死 E.脑积水 F.脑炎
答案 AB
解析 AB

猜你喜欢

发表评论
更多 网友评论0 条评论)
暂无评论

Copyright © 2012-2014 恰考网 Inc. 保留所有权利。 Powered by tikuer.com

页面耗时0.0333秒, 内存占用1.03 MB, Cache:redis,访问数据库19次