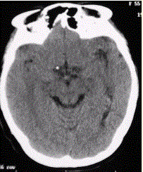
患者男,20岁,癫痫病史。头部CT显示如下图。动静脉畸形的典型MRI表现是A.MRT2WI上显示无占位效应的“黑蠕虫”征(血管流空)B.可发生...

作者: rantiku 人气: - 评论: 0
问题 患者男,20岁,癫痫病史。头部CT显示如下图。 动静脉畸形的典型MRI表现是
选项 A.MRT2WI上显示无占位效应的“黑蠕虫”征(血管流空) B.可发生脑、脊髓的任何部位 C.85%发生于幕上,15%后颅窝 D.病变大小不一,由增粗粗大的血管团组成 E.畸形血管团内可见正常脑组织 F.病变可自行消退
答案 ABCDF
解析 ABCDF

猜你喜欢

发表评论
更多 网友评论0 条评论)
暂无评论

Copyright © 2012-2014 恰考网 Inc. 保留所有权利。 Powered by tikuer.com

页面耗时0.0384秒, 内存占用1.03 MB, Cache:redis,访问数据库20次