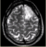
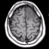
患者男,37岁。癫痫发作数次。MRI显示如下图。可以排除的是(提示DWI显示如下图。)A.星形细胞瘤B.脑炎C.急性脑梗死D....

作者: rantiku 人气: - 评论: 0
问题 患者男,37岁。癫痫发作数次。MRI显示如下图。 可以排除的是(提示DWI显示如下图。)
选项 A.星形细胞瘤 B.脑炎 C.急性脑梗死 D.脑水肿 E.静脉窦闭塞 F.移瘤
答案 CD
解析 CD

猜你喜欢

发表评论
更多 网友评论0 条评论)
暂无评论

Copyright © 2012-2014 恰考网 Inc. 保留所有权利。 Powered by tikuer.com

页面耗时0.0540秒, 内存占用1.03 MB, Cache:redis,访问数据库18次