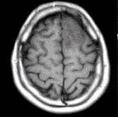
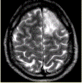
患者男,37岁。癫痫发作数次。MRI显示如下图。关于病变区与对侧正常脑实质MRS,描述正确的是(提示MRS显示如下图。)A.病变区NAA正...

作者: rantiku 人气: - 评论: 0
问题 患者男,37岁。癫痫发作数次。MRI显示如下图。 关于病变区与对侧正常脑实质MRS,描述正确的是(提示MRS显示如下图。)
选项 A.病变区NAA正常 B.病变区NAA减低 C.病变区Cho升高 D.病变区Cho未见异常 E.病变区Cr升高 F.病变区Cho减低
答案 BC
解析 BC

猜你喜欢

发表评论
更多 网友评论0 条评论)
暂无评论

Copyright © 2012-2014 恰考网 Inc. 保留所有权利。 Powered by tikuer.com

页面耗时0.0366秒, 内存占用1.03 MB, Cache:redis,访问数据库20次