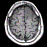
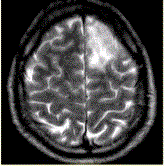
患者男,37岁。癫痫发作数次。MRI显示如下图。有关MRS在评价胶质瘤中的价值,正确的是A.Cho升高的程度与肿瘤的恶性程度有关B.C...

作者: rantiku 人气: - 评论: 0
问题 患者男,37岁。癫痫发作数次。MRI显示如下图。 有关MRS在评价胶质瘤中的价值,正确的是
选项 A.Cho升高的程度与肿瘤的恶性程度有关 B.Cho升高的程度与肿瘤的恶性程度无关 C.胶质瘤周围水肿的Cho值可见升高 D.胶质瘤周围水肿的Cho值未见异常 E.胶质瘤内部可见lac峰 F.胶质瘤NAA升高
答案 ACE
解析 ACE

猜你喜欢

发表评论
更多 网友评论0 条评论)
暂无评论

Copyright © 2012-2014 恰考网 Inc. 保留所有权利。 Powered by tikuer.com

页面耗时0.0861秒, 内存占用1.03 MB, Cache:redis,访问数据库19次