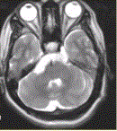
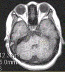
患者女,41岁。右侧面肌抽搐。MRI显示如下图。关于MRI,描述正确的是A.右侧桥前池可见T1WI等信号及T2WI高信号B.未见异常C...

作者: rantiku 人气: - 评论: 0
问题 患者女,41岁。右侧面肌抽搐。MRI显示如下图。 关于MRI,描述正确的是
选项 A.右侧桥前池可见T1WI等信号及T2WI高信号 B.未见异常 C.右侧三叉神经未见异常 D.右侧三叉神经可见包绕 E.基底动脉未见异常 F.基底动脉可见包绕
答案 ADF
解析 ADF

猜你喜欢

发表评论
更多 网友评论0 条评论)
暂无评论

Copyright © 2012-2014 恰考网 Inc. 保留所有权利。 Powered by tikuer.com

页面耗时0.0608秒, 内存占用1.03 MB, Cache:redis,访问数据库20次