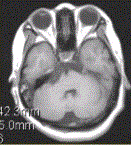
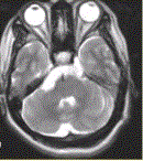
患者女,41岁。右侧面肌抽搐。MRI显示如下图。可能的诊断是A.表皮样囊肿B.蛛网膜囊肿C.胶样囊肿D.畸胎瘤E.Rathke...

作者: rantiku 人气: - 评论: 0
问题 患者女,41岁。右侧面肌抽搐。MRI显示如下图。 可能的诊断是
选项 A.表皮样囊肿 B.蛛网膜囊肿 C.胶样囊肿 D.畸胎瘤 E.Rathke裂囊肿 F.血管周围间隙
答案 AB
解析 AB

猜你喜欢

发表评论
更多 网友评论0 条评论)
暂无评论

Copyright © 2012-2014 恰考网 Inc. 保留所有权利。 Powered by tikuer.com

页面耗时0.0368秒, 内存占用1.03 MB, Cache:redis,访问数据库19次