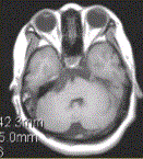
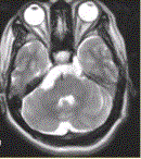
患者女,41岁。右侧面肌抽搐。MRI显示如下图。关于表皮样囊肿与蛛网膜囊肿的鉴别诊断,正确的是A.表皮样囊肿为CSF样囊性肿块,包绕邻近血管、...

作者: rantiku 人气: - 评论: 0
问题 患者女,41岁。右侧面肌抽搐。MRI显示如下图。 关于表皮样囊肿与蛛网膜囊肿的鉴别诊断,正确的是
选项 A.表皮样囊肿为CSF样囊性肿块,包绕邻近血管、神经 B.表皮样囊肿形态不规则,肿瘤沿蛛网下腔蔓延,“见缝就钻”为其特点 C.蛛网膜囊肿FLAIR、DWI低信号 D.表皮样囊肿边界清,形态规则 E.蛛网膜囊肿FLAIR、DWI高信号 F.表皮样囊肿FLAIR、DWI高信号
答案 ABCF
解析 ABCF

猜你喜欢

发表评论
更多 网友评论0 条评论)
暂无评论

Copyright © 2012-2014 恰考网 Inc. 保留所有权利。 Powered by tikuer.com

页面耗时0.0428秒, 内存占用1.03 MB, Cache:redis,访问数据库20次