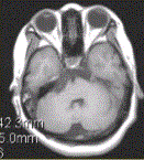
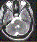
患者女,41岁。右侧面肌抽搐。MRI显示如下图。可能的诊断是(提示下一步DWI序列显示如下图。)A.表皮样囊肿B.蛛网膜囊肿C.胶样囊...

作者: rantiku 人气: - 评论: 0
问题 患者女,41岁。右侧面肌抽搐。MRI显示如下图。 可能的诊断是(提示下一步DWI序列显示如下图。)
选项 A.表皮样囊肿 B.蛛网膜囊肿 C.胶样囊肿 D.畸胎瘤 E.Rathke裂囊肿 F.血管周围间隙
答案 A
解析 A

猜你喜欢

发表评论
更多 网友评论0 条评论)
暂无评论
错误啦!

错误信息

  • 消息: [程序异常] : MISCONF Redis is configured to save RDB snapshots, but it's currently unable to persist to disk. Commands that may modify the data set are disabled, because this instance is configured to report errors during writes if RDB snapshotting fails (stop-writes-on-bgsave-error option). Please check the Redis logs for details about the RDB error.
  • 文件: /twcms/kongphp/cache/cache_redis.class.php
  • 位置: 第 85 行
    <?php echo 'KongPHP, Road to Jane.'; ?>