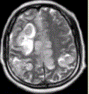
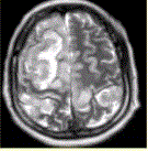
女性,产后癫痫、剧烈头痛1d,意识障碍3h。MRI显示如下图。关于MRI表现的描述,正确的是A.双侧额叶、顶叶皮层肿胀,脑沟变浅B.病...

作者: rantiku 人气: - 评论: 0
问题 女性,产后癫痫、剧烈头痛1d,意识障碍3h。MRI显示如下图。 关于MRI表现的描述,正确的是
选项 A.双侧额叶、顶叶皮层肿胀,脑沟变浅 B.病变同时累及皮层及皮层下白质 C.上矢状窦流空信号消失 D.病变占位效应明显 E.病变信号均匀 F.病变邻近脑膜增厚
答案 ABCD
解析 ABCD

猜你喜欢

发表评论
更多 网友评论0 条评论)
暂无评论

Copyright © 2012-2014 恰考网 Inc. 保留所有权利。 Powered by tikuer.com

页面耗时0.0305秒, 内存占用1.03 MB, Cache:redis,访问数据库20次