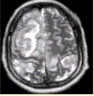
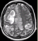
女性,产后癫痫、剧烈头痛1d,意识障碍3h。MRI显示如下图。可能的诊断是A.静脉窦闭塞B.高灌注脑病C.脑梗死D.脑炎E...

作者: rantiku 人气: - 评论: 0
问题 女性,产后癫痫、剧烈头痛1d,意识障碍3h。MRI显示如下图。 可能的诊断是
选项 A.静脉窦闭塞 B.高灌注脑病 C.脑梗死 D.脑炎 E.脑水肿 F.脑出血
答案 AB
解析 AB

猜你喜欢

发表评论
更多 网友评论0 条评论)
暂无评论

Copyright © 2012-2014 恰考网 Inc. 保留所有权利。 Powered by tikuer.com

页面耗时0.0354秒, 内存占用1.03 MB, Cache:redis,访问数据库19次