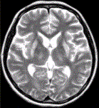
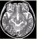
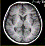
患者女,18岁,步态不稳。MRI显示如下图。可以排除的诊断是A.CO中毒B.肝豆状核变性C.肝性脑病D.桥脑外髓鞘溶解症E...

作者: rantiku 人气: - 评论: 0
问题 患者女,18岁,步态不稳。MRI显示如下图。 可以排除的诊断是
选项 A.CO中毒 B.肝豆状核变性 C.肝性脑病 D.桥脑外髓鞘溶解症 E.脑梗死 F.病毒性脑炎 G.灰质异位
答案 G
解析 G

猜你喜欢

发表评论
更多 网友评论0 条评论)
暂无评论

Copyright © 2012-2014 恰考网 Inc. 保留所有权利。 Powered by tikuer.com

页面耗时0.1037秒, 内存占用1.03 MB, Cache:redis,访问数据库19次