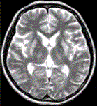
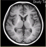
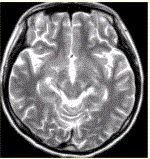
患者女,18岁,步态不稳。MRI显示如下图。进一步询问的病史应包括A.有无肝硬化B.实验室检查血铜和尿铜C.有无中毒史D.有无...

作者: rantiku 人气: - 评论: 0
问题 患者女,18岁,步态不稳。MRI显示如下图。 进一步询问的病史应包括
选项 A.有无肝硬化 B.实验室检查血铜和尿铜 C.有无中毒史 D.有无电解质紊乱 E.有无梗死史 F.有无感染史
答案 ABCDEF
解析 ABCDEF

猜你喜欢

发表评论
更多 网友评论0 条评论)
暂无评论

Copyright © 2012-2014 恰考网 Inc. 保留所有权利。 Powered by tikuer.com

页面耗时0.0397秒, 内存占用1.03 MB, Cache:redis,访问数据库19次