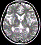
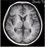
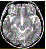
患者女,18岁,步态不稳。MRI显示如下图。应诊断为(提示患者肝硬化,血铜和尿铜均升高。)A.CO中毒B.肝豆状核变性C.肝性脑病...

作者: rantiku 人气: - 评论: 0
问题 患者女,18岁,步态不稳。MRI显示如下图。 应诊断为(提示患者肝硬化,血铜和尿铜均升高。)
选项 A.CO中毒 B.肝豆状核变性 C.肝性脑病 D.桥脑外髓鞘溶解症 E.脑梗死 F.病毒性脑炎 G.灰质异位
答案 BC
解析 BC

猜你喜欢

发表评论
更多 网友评论0 条评论)
暂无评论

Copyright © 2012-2014 恰考网 Inc. 保留所有权利。 Powered by tikuer.com

页面耗时0.0409秒, 内存占用1.03 MB, Cache:redis,访问数据库19次