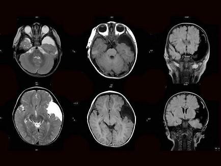
患者,女,1岁半,头颅外伤1天,如图,最可能的诊断为?(?)A.胶质瘤B.硬膜下血肿C.硬膜外血肿D.脑萎缩E.蛛网膜囊肿

作者: rantiku 人气: - 评论: 0
问题 患者,女,1岁半,头颅外伤1天,如图,最可能的诊断为?(?)
选项 A.胶质瘤 B.硬膜下血肿 C.硬膜外血肿 D.脑萎缩 E.蛛网膜囊肿
答案 E
解析

猜你喜欢

发表评论
更多 网友评论0 条评论)
暂无评论

Copyright © 2012-2014 恰考网 Inc. 保留所有权利。 Powered by tikuer.com

页面耗时0.0357秒, 内存占用1.03 MB, Cache:redis,访问数据库19次