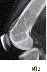
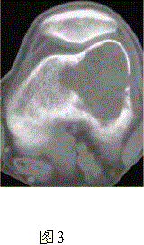
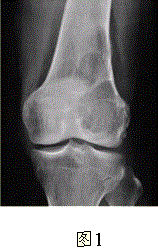
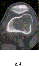
患者女,35岁,左膝关节隐痛1年余,近1周加重,活动后明显疼痛。查体:左股骨下端外侧肿胀,压痛。行左膝关节正侧位CR,并行左膝关节CT扫描,见下图。依...

作者: rantiku 人气: - 评论: 0
问题 患者女,35岁,左膝关节隐痛1年余,近1周加重,活动后明显疼痛。查体:左股骨下端外侧肿胀,压痛。行左膝关节正侧位CR,并行左膝关节CT扫描,见下图。 依据此病变的CT表现,以下说法正确的是
选项 A.病变边缘清晰 B.CT示左股骨外髁骨皮质不完整,提示病变为恶性或生长活跃 C.病灶内部密度不均 D.病灶周围可见软组织肿胀,提示为炎性病变 E.病灶无明显硬化缘 F.病灶呈中心性生长
答案 ABCE
解析 ABCE

猜你喜欢

发表评论
更多 网友评论0 条评论)
暂无评论

Copyright © 2012-2014 恰考网 Inc. 保留所有权利。 Powered by tikuer.com

页面耗时0.0409秒, 内存占用1.03 MB, Cache:redis,访问数据库14次