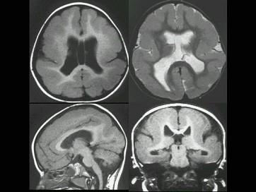
患儿6岁,自1岁后多次癫痫发作,药物治疗疗效不明显。如图所示,最可能的诊断为?(?)A.巨脑回B.脑裂畸形C.灰质移位D.无脑回畸形E...

作者: rantiku 人气: - 评论: 0
问题 患儿6岁,自1岁后多次癫痫发作,药物治疗疗效不明显。如图所示,最可能的诊断为?(?)
选项 A.巨脑回 B.脑裂畸形 C.灰质移位 D.无脑回畸形 E.无脑畸形
答案 D
解析

猜你喜欢

发表评论
更多 网友评论0 条评论)
暂无评论

Copyright © 2012-2014 恰考网 Inc. 保留所有权利。 Powered by tikuer.com

页面耗时0.0419秒, 内存占用1.03 MB, Cache:redis,访问数据库20次