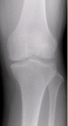
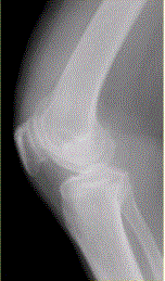
患者女,54岁,右膝关节痛。实验室检查:类风湿因子阳性,除外膝关节类风湿性关节炎。X线检查结果如下图。观察X线平片后,最可能的诊断是A.膝关节...

作者: rantiku 人气: - 评论: 0
问题 患者女,54岁,右膝关节痛。实验室检查:类风湿因子阳性,除外膝关节类风湿性关节炎。X线检查结果如下图。 观察X线平片后,最可能的诊断是
选项 A.膝关节退行性骨关节炎 B.膝关节类风湿性关节炎 C.膝关节色素沉着绒毛结节性滑膜炎 D.膝关节滑膜型结核 E.血清阴性脊椎关节炎膝关节侵犯
答案 A
解析

猜你喜欢

发表评论
更多 网友评论0 条评论)
暂无评论

Copyright © 2012-2014 恰考网 Inc. 保留所有权利。 Powered by tikuer.com

页面耗时0.0338秒, 内存占用1.03 MB, Cache:redis,访问数据库18次