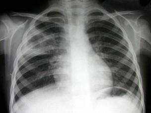
女,10岁,高热、咳嗽一天,血象:中性多形核粒细胞高度增多及核左移,血沉加速,痰中查到大量结核杆菌。结合图片,最可能的诊断是?(?)A.右上肺干酪性肺...

作者: rantiku 人气: - 评论: 0
问题 女,10岁,高热、咳嗽一天,血象:中性多形核粒细胞高度增多及核左移,血沉加速,痰中查到大量结核杆菌。结合图片,最可能的诊断是?(?)
选项 A.右上肺干酪性肺炎 B.大叶性肺炎 C.支气管扩张 D.小叶性肺炎 E.葡萄球菌性肺炎
答案 A
解析

猜你喜欢

发表评论
更多 网友评论0 条评论)
暂无评论

Copyright © 2012-2014 恰考网 Inc. 保留所有权利。 Powered by tikuer.com

页面耗时0.0430秒, 内存占用1.03 MB, Cache:redis,访问数据库18次