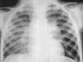
女,3岁,低热、咳嗽2月余,结合胸片,最可能的诊断为?(?)A.原发综合征B.肺门淋巴结核C.淋巴瘤D.支原体肺炎E.间质性肺炎

作者: rantiku 人气: - 评论: 0
问题 女,3岁,低热、咳嗽2月余,结合胸片,最可能的诊断为?(?)
选项 A.原发综合征 B.肺门淋巴结核 C.淋巴瘤 D.支原体肺炎 E.间质性肺炎
答案 B
解析

猜你喜欢

发表评论
更多 网友评论0 条评论)
暂无评论

Copyright © 2012-2014 恰考网 Inc. 保留所有权利。 Powered by tikuer.com

页面耗时0.0930秒, 内存占用1.03 MB, Cache:redis,访问数据库19次