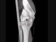
男,45岁,车祸后左膝部剧痛,活动受限2小时,结合影像学检查,最可能的诊断是?(?)A.股骨颈骨折B.股骨下端骨折C.柯莱斯骨折D.胫...

作者: rantiku 人气: - 评论: 0
问题 男,45岁,车祸后左膝部剧痛,活动受限2小时,结合影像学检查,最可能的诊断是?(?)
选项 A.股骨颈骨折 B.股骨下端骨折 C.柯莱斯骨折 D.胫骨骨折 E.腓骨骨折
答案 B
解析

猜你喜欢

发表评论
更多 网友评论0 条评论)
暂无评论
错误啦!

错误信息

  • 消息: [程序异常] : MISCONF Redis is configured to save RDB snapshots, but it's currently unable to persist to disk. Commands that may modify the data set are disabled, because this instance is configured to report errors during writes if RDB snapshotting fails (stop-writes-on-bgsave-error option). Please check the Redis logs for details about the RDB error.
  • 文件: /twcms/kongphp/cache/cache_redis.class.php
  • 位置: 第 85 行
    <?php echo 'KongPHP, Road to Jane.'; ?>