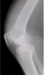
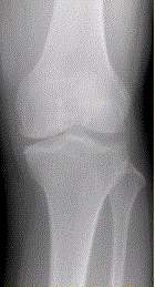
患者女,54岁,右膝关节痛。实验室检查:类风湿因子阳性,除外膝关节类风湿性关节炎。X线检查结果如下图。X线平片表现不包括A.关节边缘骨赘形成 ...

作者: rantiku 人气: - 评论: 0
问题 患者女,54岁,右膝关节痛。实验室检查:类风湿因子阳性,除外膝关节类风湿性关节炎。X线检查结果如下图。 X线平片表现不包括
选项 A.关节边缘骨赘形成 B.关节边缘骨侵蚀 C.关节间隙不均匀变窄 D.关节囊肿胀 E.股骨内侧髁关节面下局限性硬化
答案 B
解析

猜你喜欢

发表评论
更多 网友评论0 条评论)
暂无评论

Copyright © 2012-2014 恰考网 Inc. 保留所有权利。 Powered by tikuer.com

页面耗时0.0381秒, 内存占用1.03 MB, Cache:redis,访问数据库17次